治療例
2013年3月29日 金曜日
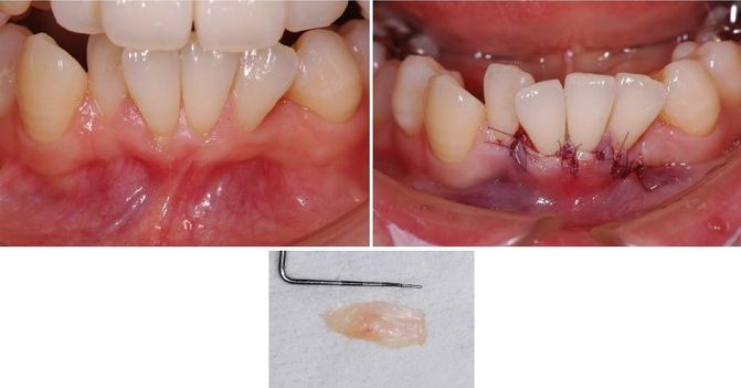
根面被覆
根面被覆(治療前)

根面被覆(治療後)

根面被覆(治療後)
投稿者 荻窪グレイス歯科・矯正歯科
2013年3月29日 金曜日

投稿者 荻窪グレイス歯科・矯正歯科
| 日 | 月 | 火 | 水 | 木 | 金 | 土 |
|---|---|---|---|---|---|---|
| 1 | 2 | 3 | 4 | 5 | ||
| 6 | 7 | 8 | 9 | 10 | 11 | 12 |
| 13 | 14 | 15 | 16 | 17 | 18 | 19 |
| 20 | 21 | 22 | 23 | 24 | 25 | 26 |
| 27 | 28 | 29 | 30 | 31 |