治療例

2013年3月29日 金曜日

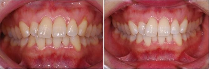
オールセラミッククラウン

荻窪グレイス歯科・矯正歯科の治療例をご紹介します。

審美治療(オールセラミッククラウン)
 
    治療前                          治療後    


荻窪でホワイトニングをお考えなら荻窪グレイス歯科・矯正歯科まで

投稿者 荻窪グレイス歯科・矯正歯科 | 記事URL

2013年3月29日 金曜日

オールセラミッククラウン

こんにちは
荻窪駅徒歩3分の荻窪グレイス歯科・矯正歯科院長の奥津です。

審美治療(オールセラミッククラウン)
 
    治療前                          治療後


荻窪でホワイトニングをお考えなら荻窪グレイス歯科・矯正歯科まで

投稿者 荻窪グレイス歯科・矯正歯科 | 記事URL

2013年3月29日 金曜日

オールセラミッククラウン

荻窪グレイス歯科・矯正歯科の治療例をご紹介します。

審美治療(オールセラミッククラウン)
 
    治療前                          治療後


投稿者 荻窪グレイス歯科・矯正歯科 | 記事URL

2013年3月29日 金曜日

セラミックインレー

荻窪グレイス歯科・矯正歯科の治療例をご紹介します。

セラミックインレー
 
    治療前                          治療後


投稿者 荻窪グレイス歯科・矯正歯科 | 記事URL

2013年3月29日 金曜日

ホワイトニング

荻窪グレイス歯科・矯正歯科の治療例をご紹介します。

ホワイトニング
 
    治療前                          治療後


投稿者 荻窪グレイス歯科・矯正歯科 | 記事URL

カレンダー

2024年10月
    1 2 3 4 5
6 7 8 9 10 11 12
13 14 15 16 17 18 19
20 21 22 23 24 25 26
27 28 29 30 31    

月別アーカイブ

キッズスペース完備
アクセス


大きな地図で見る
■住所
〒167-0032
東京都杉並区天沼3丁目6−1 荻窪深澤ビル 1F
■電話番号
03-5347-4180
■診療時間
9:30-13:30 15:00-19:00
(金土午後は15:00-18:00)
■休診日
水曜日・日曜日・祝祭日
※日曜、月に一回下記で診療いたします
10:00~13:00 14:00~17:00

お問い合わせ 詳しくはこちら